高毒力肺炎克雷伯菌是一种新型肺炎病菌,可在年轻和健康个体引起多种严重感染,导致发生严重致残、致死事件。在我国,由高毒力肺炎克雷伯菌感染引起的侵袭性综合征呈现增多趋势,而临床对其的认识还远远不够。日前,青岛市市立医院本部呼吸与危重医学科精准识别并成功救治一名病情危重的高毒力肺炎克雷伯菌感染患者,展现了医院呼吸系统疾病强大的疑难危重症救治实力。
反复高热咳嗽,吃药后不轻反重
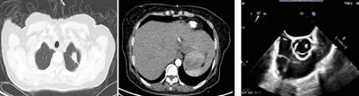
54岁的李女士既往有糖尿病病史多年,血糖未控制。她因反复发热、咳嗽就诊于外院,体温高达39℃,伴寒颤、胸闷、憋气。胸部CT提示双肺水肿、双侧胸腔积液、左肺尖占位、肝左叶占位,考虑脓肿。应用广谱抗生素抗感染治疗后,患者仍发热,咳嗽胸闷症状加重。
通过转诊绿色通道,患者被第一时间转入本部呼吸与危重医学一科。入院后复查影像:胸部左肺团块、斑片灶,考虑肺脓肿;肝左叶团状蜂窝,考虑肝脓肿;心脏超声示主动脉瓣赘生物。
肝脓肿一“针”见血,围剿病菌“大本营”
魏东主任医师立即带领赵伟业副主任医师、吕森森副主任医师进行病情分析:患者因长期未能有效控血糖,导致身体免疫力低下,营养丰富的血液成了细菌培养基,起初一点点的感染逐步加重至严重感染,肝脏内形成接近一个拳头大小的脓腔,肺部病灶均位于胸膜下考虑血源性感染,疑惑的是左上肺病灶呈现“鬼脸征”,同时还伴有感染性心内膜炎及瓣膜赘生物形成。科室立即组织肝胆外科、心外科多学科会诊,专家讨论认为,脓肿治疗的关键在于引流,外院应用广谱抗生素治疗效果不好的原因在于未引流脓肿。为了更快揪出致病菌,急请B超室在超声定位下进行了经皮肝脓肿穿刺引流,不断有砖红色的脓液排出患者体外。穿刺液中白细胞高达182279.00×10^6。
“高”在哪里?毒性傍身且阴险毒辣
在焦急的等待中,微生物室汇报:肝脏穿刺液细菌培养结果为肺炎克雷伯菌,拉丝试验阳性。集团副院长、本部呼吸与危重医学科主任刘学东主任医师查房指出:患者免疫力受损,肺炎克雷伯菌感染明确,拉丝试验阳性代表菌株为高黏表型并具有高毒力。
肺炎克雷伯菌可以自然存在于健康个体的肠道和呼吸道中,具有健康免疫系统的人很少发生感染疾病。高毒力肺炎克雷伯菌感染以肝脓肿最为常见,并可转移到肺、脑和眼等部位,称之为侵袭性肝脓肿综合征,病情凶险,死亡率高。不仅如此,患者入院还出现了感染性心内膜炎及瓣膜赘生物的征象,hvKP感染导致心内膜炎罕见。
以仁心妙术护航畅快呼吸
有病原学和药敏的支持,医院立即调整抗生素方案并充分引流,规范管理血糖,患者体温很快降至正常,各项生命体征及指标达临床稳定;仅1周的时间患者肺部病灶、肝脓肿及心脏瓣膜赘生物均明显缩小;引流1月后复查肝脓肿明显缩小,引流液消失,拔除引流管,顺利出院。近年来,青岛市市立医院本部呼吸专业脚踏实地精进医术,以仁心妙术优质服务患者,让医学的温度延展患者的生命,学科影响力逐步扩大到周边市县,多次从周边地区转入并成功救治疑难危重患者,不断为全市呼吸系统疾病诊疗事业作出新贡献。
观海新闻/青岛晚报 记者 于波 实习生 许伊婷 通讯员 谢小真
总有生命因你沸腾
4月15日至16日恰逢周末,在人间最美的四月天里,青岛市中心血站的爱心献血车驶入山东科技大学,开展了为期两天的献血活动,289名山科师生成功献血103904毫升。
一腔青春的热血,一颗爱心的关怀。当天,取快递路过的管云鹏看到献血车停靠在学校广场上,没来得及放下快递就登上献血车。管云鹏从上大学开始接触献血,至今已累计献血8次3200毫升。不善言辞的他云淡风轻地说:“献血只是一件很普通的事情,我并不觉得有什么特别的,只是觉得能帮助别人挺好的。”贺光璇也是从上大学后开始献血,现在读研了也一直保持着献血的习惯。她说:“我其实有点害怕,所以每年献一次,但我会一直坚持把这件事做下去。”还有和舍友们一起参加献血的周佳,她觉得献血既不会损害身体,又能帮助别人。
4月14日,平度市技师学院开展无偿献血活动,76人累计献血24100毫升,生动展现了莘莘学子助人为乐的高尚情怀。当天早上7时许,平度市技师学院的同学们很快就准备就绪,只为一个共同的目的——挽袖献血、奉献爱心。用最直接的方式,为病患送去生命的关爱。“要符合什么条件才能献血?”不少同学是第一次献血,对于献血,他们既陌生又好奇,脑子里写满了疑问。但在无偿献血志愿者和医务人员的耐心解释下,最终解除了心中的疑惑,并勇敢地献出热血。
观海新闻/青岛晚报 记者 于波 通讯员 徐高鑫 李晓倩



前一期